🖥️ CT scan and Digital X-Rays

Seeing beneath the surface. Clarity without compromise.

Digital X-rays are our way of listening to what your teeth can’t say out loud. They reveal what’s hidden—decay between teeth, bone loss, infections, or impacted teeth—without the guesswork or delay. At Frederick Prime Dental, we use digital imaging not just for diagnosis, but for insight—a deeper look that helps us plan with precision and treat with intention.

Unlike traditional film, digital X-rays offer instant results, lower radiation, and enhanced clarity. They’re fast, safe, and seamlessly integrated into your care.

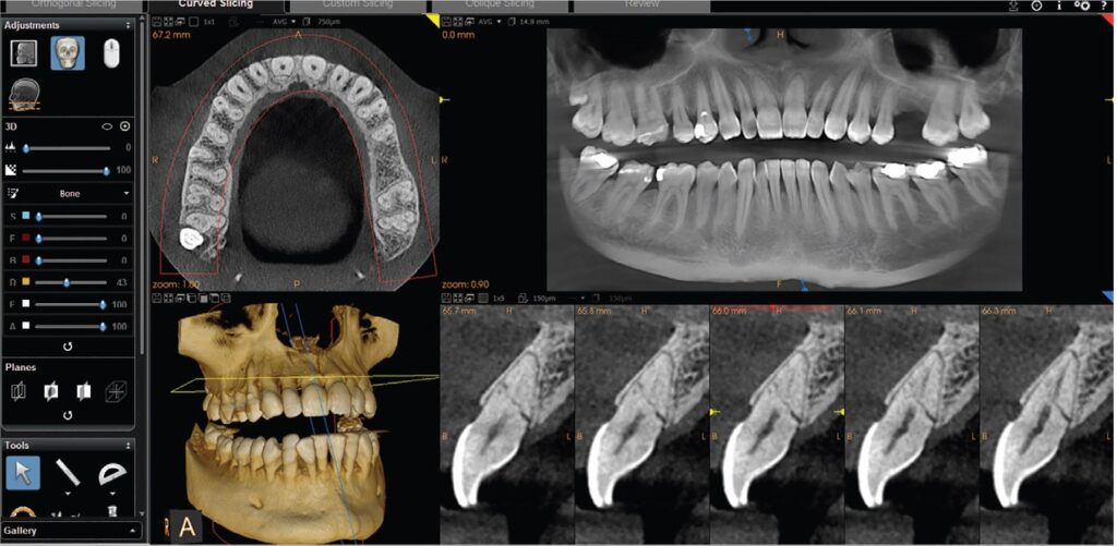
🌿 Cone Beam CT (CBCT) Scanning

 Our 3D Cone Beam CT scanner provides high-resolution, cross-sectional images of your teeth, jawbone, sinuses, and surrounding structures. This allows us to:

  • Plan complex procedures like implants and extractions with pinpoint accuracy

  • Detect hidden infections, cysts, or bone loss

  • Evaluate airway and sinus anatomy for sleep apnea and other conditions

Unlike traditional CT scans, CBCT uses a lower dose of radiation and delivers faster results—right from our office.

🧪 Digital X-Rays

Our digital X-ray system offers a safer, faster, and more eco-friendly alternative to film-based radiography. Benefits include:

    • Up to 80% less radiation exposure

    • Instant image capture and viewing

    • Enhanced image quality for better diagnosis

    • Easy sharing with specialists or insurance providers

🧠 Why It Matters

  • Enables early, accurate diagnosis
  • Helps us plan treatments with confidence
  • Supports long-term tracking of oral health changes
  • Enhances patient understanding through visual explanation

💬 What patients say

"Digital X-rays let us see the full picture—quiet signs, hidden risks, and the path forward."

"It’s not just about technology. It’s about clarity, safety, and trust."